A saúde bucal é a saúde de todo o seu corpo. O descaso com sua boca pode levar à perda dentária e, em casos extremos, a endocardite bacteriana, parto prematuro, entre outros males.
A clínica geral atua em restaurações, extrações, raspagem gengival, profilaxia, aplicação de flúor.
A restauração com resina fotopolimerizável é feita com materiais resistentes, da cor do dente, usada tanto para recompor porções de dentes que perderam estrutura por cáries, fraturas ou para modificar o formato de dentes com deficiência estética.
Extrações simples. A Barsé Odontologia zela pela preservação de seus dentes, mas nos casos em que for necessário, executa extrações com o máximo de cuidados e com acompanhamento. Não realizamos extrações de sisos.
Raspagem de tártaro, profilaxia e aplicação de flúor são procedimentos da odontologia de prevenção e tratamento, tornando as gengivas saudáveis, eliminando manchas (café, chimarrão, vinho, cigarro) , removendo a placa bacteriana, prevenindo mau hálito, impedindo formação de cáries, remineralizando o esmalte dentário. Esses cuidados são indicados tanto para dentição decídua (de leite), quanto para permanente.
A Barsé Odontologia faz acompanhamento da periodicidade das visitas de seus pacientes e comunica-lhes quando se faz necessário seu retorno, para os cuidados preventivos.

Um implante é uma pequena peça em titânio, semelhante a um pequeno parafuso, colocada no osso cirurgicamente, em consultório, com anestesia local, substituindo um ou mais dentes naturais.
Realizada a cirurgia, aguarda-se de 45 a 90 dias para completar a osseointegração, isto é, a fixação do pino no osso. Em casos estéticos é possível a colocação de um elemento provisório no mesmo ato cirúrgico. Passado este período inicia-se a prótese definitiva ficando o trabalho concluído em cerca de 30 dias.
A técnica dos implantes veio possibilitar que as próteses totais móveis sejam substituídas por próteses totais fixas – PROTOCOLO -. Para um protocolo da arcada inferior são necessários no mínimo 4 implantes e para a superior no mínimo 6 pinos deverão ser implantados. Em aproximadamente 90 dias o tratamento se completa, ficando o paciente neste período com uma prótese provisória.

Fixas: são coroas cerâmicas usadas para a recomposição total do dente, feitas sobre raízes ou sobre implantes com o fim de devolver a estética e capacidade mastigatória do paciente.
Parciais: são as próteses removíveis (ponte móvel) substituindo um ou mais elementos ausentes.
Total removível (dentadura): se apoia sobre a mucosa oral, oferece capacidade mastigatória de 25% da dentição natural completa.
Protocolo (total fixa): se apoia sobre implantes , com capacidade mastigatória de 85% da dentição natural completa. O material utilizado poderá ser acrílico ou cerâmica.

A faceta é uma técnica com finalidade estética que utiliza finas lâminas de cerâmica sobrepostas aos dentes.
Atualmente, especialmente as facetas, são muito procuradas para melhorar o visual de dentes mal posicionados, quebrados ou escuros. Torna o sorriso luminoso, com dentes alinhados e mais brancos, proporcionando maior harmonia facial.
O processo é iniciado com pequenos desgastes nos dentes, seguido de moldagem e trabalho de laboratório, chega a confecção de películas de cerâmica que são fixadas em cada dente. É preservada a resistência dos dentes e a cor não sofre alteração.
As lentes de contato, semelhante a facetas, são também finas lâminas de cerâmica com finalidade estética, porém difere-se das facetas por não exigir desgaste dentário. A indicação da lente de contato se restringe a corrigir o formato dos dentes ou preencher espaços entre eles (diastemas).

A ortodontia é a especialidade da odontologia que trata tanto de um sorriso alinhado como da função mastigatória, fazendo com que os dentes se encaixem perfeitamente, tendo assim uma ótima oclusão como um sorriso perfeito.
Trabalhamos com a ortodontia em jovens e adultos na técnica Straight Wire e Ortho Aligner, com aparelhos metálicos e estéticos (safira, cerâmica e placas transparentes).
Seus dentes possuem pequenos desalinhamentos e você não quer usar aparelho ortodôntico convencional? Hoje em dia, isso já é possível através do Ortho Aligner, a mais nova tecnologia de alinhadores transparentes. O aparelho é feito sob medida para cada paciente e apresenta como vantagem principal a possibilidade de remoção para alimentação e higiene oral, além de ser muito mais confortável e praticamente invisível!

É a especialidade que visa manter os dentes cuja polpa sofreu necrose por cárie, por traumatismo ou que se encontra inflamada.Uma vez tratado o canal é possível a reconstrução do dente com restauração ou prótese.
Hoje as técnicas modernas possibilitam, através de aparelho mecanizado, que o procedimento seja realizado em uma única sessão.

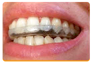
São dispositivos rígidos, de acrílico, confeccionados sobre o modelo da arcada dentária, com a finalidade de proteger os dentes de desgastes, de fraturas, aliviar dores nos músculos e articulações envolvidos na mastigação, provocados pela ação de apertar ou ranger os dentes (bruxismo).
Ela não atua na causa do bruxismo, mas ameniza os seus efeitos. O uso indicado é diário, no período do sono, por tempo indeterminado, com ótimos resultados desde que feito o acompanhamento previsto pelo profissional.
Barsé Odontologia, no caso de bruxismo severo, indica a associação da placa com aplicação de toxina botulínica (botox).

É uma técnica para branqueamento dos dentes realizada no consultório ou pelo próprio paciente. Quando o paciente opta por clareamento doméstico, é utilizada uma moldeira soft confeccionada pelo dentista e aplicado um gel clareador, com supervisão do profissional. Quando feito em consultório, é aplicado um agente clareador de maior concentração sobre os dentes, com ou sem ativação por laser, em média de 3 sessões semanais de 45-60 minutos.
As duas técnicas podem ser associadas e o clareamento encerra quando obtido o resultado esperado.O tratamento pode ser repetido anualmente, ou em períodos menores caso o paciente tenha uma dieta rica em corantes que pigmente seus dentes.

É tratamento com aparelho laser de baixa potência, promovendo cicatrização, ação anti-inflamatória e analgésica. Rápido, indolor e seguro, sem efeitos colaterais.
Indicado para lesões de aftas, herpes, gengivites, queilite angular (fissura no canto da boca), dores articulares temporo mandibulares, pós tratamento endodôntico (canal), pós implante, sensibilidade dentinária, entre outros.
As sessões variam de acordo com a necessidade de cada paciente.

Botox é um tratamento moderno indicado para controle do bruxismo, da hiperatividade muscular, no combate a cefaleia associada aos músculos da mastigação.
Atualmente, a odontologia atua também esteticamente usando o Botox® para correção do sorriso gengival e no tratamento das rugas dinâmicas.
A toxina botulínica "Botox®" É um agente biológico produzido em laboratório que atua nas terminações nervosas, impedindo a contração muscular.
Barsé Odontologia oferece, além de todos os cuidados com os seus dentes, atenção para sua beleza, aplicando Botox® para as rugas dinâmicas e preenchedores para as rugas estáticas.

É o melhor e mais seguro preenchedor facial. Além de biocompatível, é reversível e tem uma duração média de 01 ano. A aplicação pelos dentistas pode ser feita com anestesia local infiltrativa, ou seja, indolor.
O ácido é injetado na derme, para dar volume, preencher rugas estáticas, hidratar e induzir a neoformação de colágeno. Pode ser utilizado para preenchimento de “bigode chinês”, linhas periorais “código de barras e marionete” e contorno e volume de lábios.
Na primeira sessão já se visualiza o resultado e se necessário é possível retoque em 15 dias.

A fibrina rica em plaquetas é um componente sanguíneo obtido de forma autóloga, ou seja, é retirado sangue do próprio paciente, centrifugado e utilizado seu fracionamento.
Na odontologia, seu uso favorece e estimula a cicatrização dos tecidos, seja em implantodontia, em tratamento periodontal (gengiva), em cirurgia bucomaxilofacial com grande potencialização terapêutica.
Além das indicações intrabucais, o PRF pode ser aplicado na área de estética facial, injetado na derme, restaurando a vitalidade da pele e estimulando a formação de colágeno.
Para tratamento orofacial, são recomendadas duas aplicações mensais, por um período de três meses e após manutenção semestral, podendo variar para cada paciente. Quando associado à aplicação de toxina botulínica e preenchedores faciais o resultado obtido com essas técnicas são intensificados.
NOS PROCURE PARA CONHECER MAIS E MELHOR TODOS OS BENEFÍCIOS QUE A BARSÉ ODONTOLOGIA ESTÁ OFERECENDO PARA SUA SAÚDE E BELEZA.